【橙訊】古語有雲「削足適履」,杭州一位37歲的女子為了穿上高跟鞋,居然切掉雙腳的兩隻腳趾。
阿娟(化名)是一家小型餐飲店的老板娘,穿著在同齡人中還算時髦,但令身邊人很不解的是,她的腳上整天穿的都是寬口的平底鞋。尤其是進入炎熱的夏天,身邊的女性都穿上了精美的涼鞋或是拖鞋,她卻依然把腳包得嚴嚴實實。
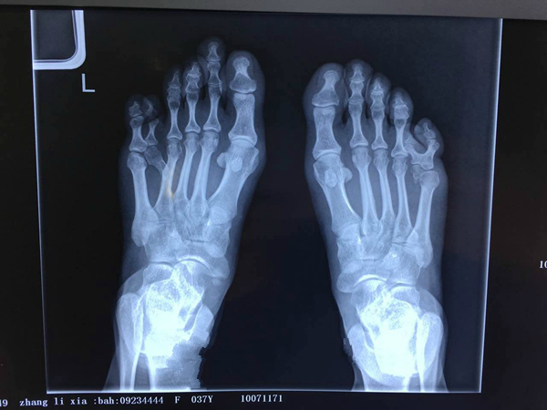
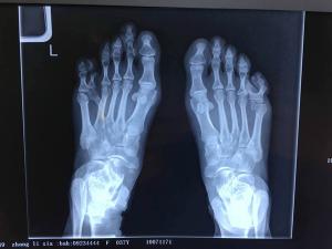
原來,她的雙腳天生就有六趾,「我長到現在37歲了,沒有在外人面前露過腳,就連自己的兩個孩子也沒見過我光腳。」
每次朋友與一起逛街,她總會被批評鞋子不好看。朋友推薦尖頭的高跟鞋,她每次都只能婉拒。阿娟說,其實她的內心是極愛這類鞋子的,只是想到那雙六趾的腳,反正試了也是穿不進,即使穿進了也走不了路,她覺得還是及早放棄為妙。
原本,阿娟是打算跟六趾和平共處的,不料右腳那個多出來的腳趾頭很不安分,一點點往上翹起來,令她走路都受影響。這反倒逼阿娟下了決心:把多出來的腳趾頭給割了。
如今,阿娟已經在杭州市三醫院順利完成了多趾切除手術,恢復得也很好,她的心裏照滿了陽光,早早地給腳趾甲塗上了粉紫色的指甲油,就等著出院以後去好好秀一秀那一雙美腳了,亦終於能穿上最愛的尖頭高跟鞋。
杭州市三醫院骨科的趙琦輝醫生指:「多趾/指畸形是嬰兒出生時最常見的異常情況,通常與遺傳或是環境汙染相關,尤其是母親在懷孕4~8周期間,如果發生病毒性感冒或是接觸了射線或是吃了某些藥物等,都可能導致胎兒腳趾或是手指的畸形。而對於此類畸形,保守治療沒有任何效果,唯一的辦法就是手術切除。但考慮到太早手術可能會影響孩子骨骼發育,因此建議孩子到10多歲發育完成後再手術比較適宜。」
編輯 | CK Li
編輯推薦
清明節|代客燒衣服務火爆 商戶日賺17000元不止
保安局:警務處無所畏懼違法必究 採必要措施維護國家安全
有片丨「大魔王」張怡寧出席五地僑界乒乓球聯誼賽 冀香港內地更多體育交流
紅山半島僭建︱甯漢豪:不存在明知違規而不處理 會大規模巡查獨立屋
駐港部隊完成第26次建制單位輪換 感謝各界大力支持
新田科技城|甯漢豪:規劃用途留有彈性方便業界進駐 不以「價高者得」批地